PART 17: Neurologic Disorders
SECTION 2 Diseases of the Central Nervous System
369 Seizures and Epilepsy
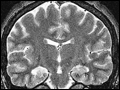
| Figure 369-1 Mesial temporal lobe epilepsy. The EEG suggested a right temporal lobe focus. Coronal high-resolution T2-weighted fast spin echo magnetic resonance image obtained through the body of the hippocampus demonstrates abnormal high-signal intensity in the right hippocampus ( ... | |
view large |
| Figure 369-2 Evaluation of the adult patient with a seizure. CBC, complete blood count; CNS, central nervous system; CT, computed tomography; EEG, electroencephalogram; MRI, magnetic resonance imaging. | |
view large |
| Figure 369-3 Pharmacologic treatment of generalized tonic-clonic status epilepticus in adults. The horizontal bars indicate the approximate duration of drug infusions. IV, intravenous; PE, phenytoin equivalents. | |
view large |

