PART 8: Infectious Diseases
SECTION 10 Diseases Caused by Rickettsiae, Mycoplasmas, and Chlamydiae
176 Chlamydial Infections
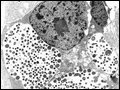
| Figure 176-1 Chlamydial intracellular inclusions filled with smaller dense elementary bodies and larger reticulate bodies. [Reprinted with permission from WE Stamm: Chlamydial infections, in Harrison's Principles of Internal Medicine, 17th ed, AS Fauci et al (eds). New York, McGraw-Hill, 2008, p... | |
view large |
| Figure 176-2 Chlamydial life cycle. EBs, elementary bodies; RBs, reticulate bodies; IFN-γ, interferon γ. [Reprinted with permission from WE Stamm: Chlamydial infections, in Harrison's Principles of Internal Medicine, 17th ed, AS Fauci et al (eds). New York, McGraw-Hill, 2008, p 1071.] | |
view large |

